
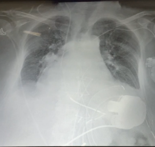
Cuore artificiale di ultima generazione impiantato al Policlinico di Bari: intervento salvavita su un 65enne
Un cuore artificiale, un sistema di assistenza ventricolare di ultimissima generazione, è stato impiantato con successo al Policlinico di Bari per salvare la vita a un paziente di 65…


