DOMENICA, 15 MARZO 2026
87,960 ARTICOLI
Dir. resp.:Adalisa Mei
redazione@borderline24.com
87,960 ARTICOLI

 

Direttore Responsabile: Adalisa Mei
Per segnalazioni: redazione@borderline24.com

Arriva al pronto soccorso con mal di pancia: ma aveva un raro tumore. Operata d’urgenza a Corato

Tempestivo intervento dell’équipe di chirurgia generale per risolvere un caso complesso e non comune

Pubblicato da: redazione | Sab, 22 Novembre 2025 - 08:53
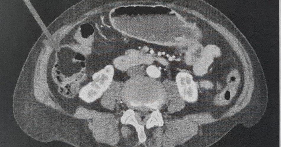
chirurgia corato - tc addome che evidenzia la massa tumorale
Annunci

gpbari_acbaribat

Era arrivata in Pronto Soccorso con dolori addominali e stipsi, ha finito con l’essere operata con urgenza per un raro tumore benigno del colon destro in fase subocclusiva. È stato quanto mai provvidenziale l’intervento dell’équipe di Chirurgia Generale, diretta dal dr. Pasquale Cianci, nel risolvere positivamente il caso di una paziente arrivata nell’Ospedale “Umberto I” di Corato nei giorni scorsi pensando d’essere afflitta da un banale quanto fastidioso mal di pancia.

Gli approfondimenti diagnostici eseguiti, infatti, hanno chiarito un quadro clinico complesso e rivelato – grazie ad una Tac addome – una subocclusione intestinale dovuta alla presenza di una massa tumorale di oltre 6 cm di diametro, sviluppatasi all’interno della parete del colon destro, confermata da una successiva colonscopia. Dopo il completamento delle indagini strumentali e un’attenta valutazione anestesiologica, la paziente è stata sottoposta ad Emicolectomia destra laparoscopica, un intervento chirurgico mini-invasivo per la rimozione del tumore annidato nella parte destra del colon. Il decorso postoperatorio, con dimissione dopo dieci giorni, è stato seguito in stretta collaborazione con il team di cardiologi e internisti del presidio.

«La diagnosi istologica, effettuata presso l’Istituto Oncologico di Bari, è stata di “Lipoma sottomucoso maturo” che, seppur benigno, rappresenta una evenienza non comune – spiega il dr. Cianci –. Questi tumori hanno una prevalenza tra lo 0.035% e il 4.4% di tutte le neoplasie benigne non epiteliali del tratto gastrointestinale e, in genere, non causano sintomi se non di grandi dimensioni come nel nostro caso. L’approccio laparoscopico ha sicuramente ridotto i tempi di ripresa, le complicanze postoperatorie e nel complesso la degenza ospedaliera».

I numeri della Chirurgia, del resto, confermano la crescita di attività sia in volume sia in qualità dell’assistenza sanitaria. Dal 1° gennaio 2025, infatti, nell’UOC di Chirurgia Generale dell’Ospedale Umberto I di Corato, sono stati effettuati 418 interventi chirurgici, di cui 102 in urgenza e 316 in elezione. Gli interventi con approccio mini-invasivo laparoscopico, con tecniche chirurgiche che utilizzano piccole incisioni per ridurre il trauma, il dolore, il sanguinamento e i tempi di recupero, sono stati complessivamente 129, il 30,9 per cento del totale.

© RIPRODUZIONE ANCHE PARZIALE RISERVATA - Borderline24.com
Ti invitiamo a usare i bottoni di condivisione e a non copiare l'articolo.

Bari, il lungomare diventa un circuito:...

In una “prima” che entra di diritto nella storia del motorsport,...
- 15 Marzo 2026

Disturbi dell’alimentazione, nasce il progetto anche...

In Italia non esistono dati certi di prevalenza nazionali sui disturbi...
- 15 Marzo 2026

“Pizza e Core” rompe il silenzio...

A poche ore dall'incendio (il secondo dopo pochi giorni), resta il...
- 15 Marzo 2026

Riparte “Orizzonti solidali”: 300mila euro per...

Continuità e impegno nel sociale. Sono queste le parole chiave della...
- 15 Marzo 2026