MERCOLEDì, 13 MAGGIO 2026
89,308 ARTICOLI
Dir. resp.:Adalisa Mei
redazione@borderline24.com
89,308 ARTICOLI

 

Direttore Responsabile: Adalisa Mei
Per segnalazioni: redazione@borderline24.com

Policlinico di Bari, artrosi del pollice: eseguiti tre interventi con una nuova tecnica chirurgica

Pubblicato da: redazione | Lun, 31 Gennaio 2022 - 11:00
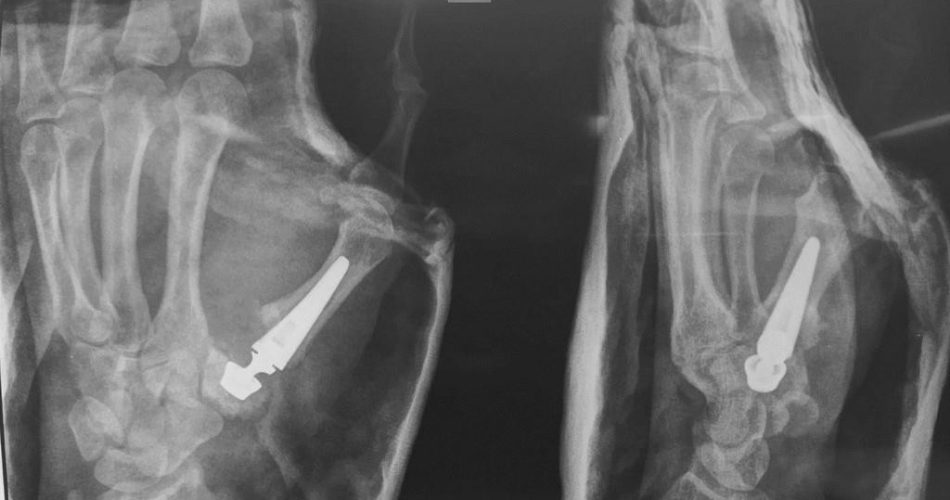
protesi

Una piccola protesi applicata alle articolazioni della mano per eliminare il dolore e conservare il movimento: è attraverso la nuova tecnica chirurgica che per la prima volta al Policlinico di Bari sono stati sottoposti a intervento tre pazienti affetti da artrosi del pollice. Le operazioni di sostituzione totale dell’articolazione trapezio metacarpale del primo dito con una protesi sono state eseguite dall’equipe dell’Unità operativa complessa di Ortopedia e Traumatologia universitaria diretta dal professor Biagio Moretti.

Si tratta di una novità che permette di recuperare completamente la funzionalità prensile della mano per chi è affetto da artropatia cronica degenerativa che interessa l’articolazione trapezio-metacarpale. L’artrosi, che provoca assottigliamento e usura della cartilagine all’interno dell’articolazione tra il trapezio e la base del primo metacarpale, colpisce prevalentemente le donne (80% dei casi) oltre i 50 anni, è spesso ereditaria ma può essere anche post-traumatica  (soprattutto negli uomini) dopo una frattura articolare che interessa la base del primo metacarpo. Le conseguenze sono dolore alla base del pollice, difficoltà nella presa, deformità progressiva del dito  e grave riduzione nelle comuni attività giornaliere come aprire una bottiglia o girare una chiave nella serratura.

“Nella nostra clinica abbiamo eseguito per la prima volta al Policlinico di Bari interventi di protesi alle piccole articolazioni della mano su tre pazienti affetti da artrosi trapezio metacarpale gravemente invalidante – spiega il dottor Francesco Rifino, medico dell’Unità operativa di Ortopedia e traumatologia del Policlinico di Bari  – finora gli interventi prevedevano diverse tecniche chirurgiche tra cui il blocco dell’articolazione o la rimozione del trapezio deformato che provoca il dolore e l’impotenza funzionale con sua sostituzione attraverso un “gomitolo tendineo”, tutte tecniche mirate a ridurre la problematica attraverso soluzioni palliative. Grazie alla nuova tecnologia,  abbiamo sostituito le piccole articolazioni malate e deformi con mini-protesi che ripropongono la biomeccanica articolare originale allo scopo di eliminare il dolore e restituire al paziente una funzione simile a quella esistente in epoca precedente all’insorgenza della patologia. È una tecnica che si affianca alle altre ma rappresenta un’arma in più per consentire ai pazienti di conservare i movimenti senza avere nessuna restrizione”.

Dopo l’intervento, il paziente viene immobilizzato per pochi giorni e deve seguire successivamente un percorso riabilitativo. “Il Policlinico di Bari rappresenta un punto di riferimento anche per la chirurgia della mano e in particolare per la patologia artrosica di questo distretto, una malattia degenerativa delle piccole articolazioni che diventa disabilitante perché causa una limitazione funzionale importante mentre gesticoliamo, afferriamo gli oggetti, e durante le funzioni elementari della vita di ogni giorno. Queste nuove soluzioni chirurgiche che nella clinica ortopedica abbiamo iniziato ad utilizzare, rappresentano il prodotto delle innovazioni tecnologiche che permettono di riprodurre su scala ridotta protesi articolari finora utilizzate per le grandi articolazioni come il ginocchio, l’anca e la spalla. Questi pazienti vengono seguiti presso un ambulatorio dedicato, in considerazione della peculiarità delle problematiche cliniche e riabilitative connesse alla chirurgia ricostruttiva impiegata” spiega il professor Biagio Moretti, direttore dell’Unità operativa di Ortopedia del Policlinico di Bari.

© RIPRODUZIONE ANCHE PARZIALE RISERVATA - Borderline24.com
Ti invitiamo a usare i bottoni di condivisione e a non copiare l'articolo.

Maltempo in Puglia, scatta l’allerta gialla:...

Nuova allerta meteo in Puglia. La Protezione civile regionale ha diramato...
- 13 Maggio 2026

La Regione Puglia prepara le misure...

Il dipartimento Promozione della Salute della Regione Puglia ha trasmesso una...
- 13 Maggio 2026

Bari, scoperto in giro con una...

Prosegue l'impegno della Polizia di Stato nel contrastare il disagio giovanile e...
- 13 Maggio 2026

Traghetti, estate di fuoco per le...

Traghetti sempre più cari. Rispetto allo scorso anno il costo medio...
- 13 Maggio 2026